Book Appointment
WhatsApp
Call

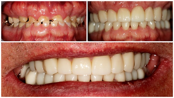
Comprehensive Full-Mouth Restoration
for a Healthier, More Functional Smile through advanced techniques and personalized care.

Aiming to enhance both the aesthetics and function of your smile, full-mouth restoration addresses various dental issues and ensures optimal oral health.

At Manavdantseva Multispeciality Dental Hospital , we specialize in full-mouth reconstruction, a comprehensive solution for individuals with multiple missing or damaged teeth. If left untreated, these issues can lead to jaw misalignment, pain, and long-term oral health concerns. Our experienced team utilizes a range of advanced dental procedures—such as dental implants, crowns, bridges, veneers, fillings, and more—to restore both the functionality and beauty of your smile. By combining precision and the latest technology, we not only rebuild your mouth but also enhance your facial aesthetics. Contact us today for a consultation and begin your journey toward a healthier, more confident smile.

Best veneers teeth in Surat

Reasons

for Full Mouth Reconstruction

  • Dental Trauma: If you have experienced various dental injuries, full mouth reconstruction can restore function and aesthetics, ensuring a complete and healthy smile.
  • Worn Teeth: Excessive wear on teeth can cause misalignment and discomfort, requiring full mouth reconstruction to restore bite function and visual appeal.
  • Tooth Loss: Whether caused by injury or disease, the loss of multiple teeth can be addressed with dental implants and other procedures for a full restoration.
  • Severe Gum Disease: Advanced gum disease or abscesses can lead to tooth loss or decay, making full mouth reconstruction essential to regain oral health and restore functionality.
best dental clinic in Surat

Effective Treatment

for Full Mouth Reconstruction

  • Dental Implants: State-of-the-art dental implants are used to replace missing teeth, providing a permanent and natural-looking solution for tooth loss.
  • Cosmetic Restorations: Procedures like veneers, crowns, and bridges are utilized to restore the appearance and functionality of damaged or decayed teeth.
  • Orthodontic Treatments: Braces or clear aligners are used to realign misaligned teeth, improving bite function and overall oral health.
  • Gum Disease Treatment: Advanced periodontal therapies are applied to treat severe gum disease, ensuring a healthy foundation for restorations and implants.
  • Comprehensive Care Plan: A personalized, step-by-step treatment plan is designed to address all aspects of oral health, from restoration to maintenance, ensuring long-lasting results.